9888À­Ë¹Î¬¼Ó˹

9888À­Ë¹Î¬¼Ó˹(¹É·Ý)ÓÐÏÞ¹«Ë¾-¹Ù·½ÍøÕ¾
ÎÒÃǵķþÎñ

×÷ΪÖйúµÚÈý·½¼ì²âÓëÈÏÖ¤·þÎñµÄ¿ªÍØÕߺÍÁìÏÈÕß £¬CTI9888À­Ë¹Î¬¼Ó˹¼ì²âΪȫÇò¿Í»§ÌṩһվʽĥÁ·¡¢²âÊÔ¡¢Ð£×¼¡¢ÈÏÖ¤¼°ÊÖÒÕ·þÎñ¡£

9888À­Ë¹Î¬¼Ó˹(¹É·Ý)ÓÐÏÞ¹«Ë¾-¹Ù·½ÍøÕ¾
ÐÐÒµ½â¾ö¼Æ»®

·þÎñÄÜÁ¦ÒÑÖÜÈ«ÁýÕÖµ½·ÄÖ¯´ò°ç¼°Ð¬°ü¡¢Ó¤Í¯Íæ¾ß¼°¼Ò¾ÓÉúÑÄ¡¢µç×ÓµçÆ÷¡¢Ò½Ñ§¿µ½¡¡¢Ê³Îï¼°Å©²úÆ·……µÈÐÐÒµµÄ¹©Ó¦Á´ÉÏÏÂÓΡ£

9888À­Ë¹Î¬¼Ó˹(¹É·Ý)ÓÐÏÞ¹«Ë¾-¹Ù·½ÍøÕ¾
ÌØÉ«·þÎñ

ÖÜÈ«°ü¹ÜÆ·ÖÊÓëÇå¾² £¬Íƶ¯ºÏ¹æÓëÁ¢Òì £¬ÕÃÏÔÆ·ÅƾºÕùÁ¦ £¬ÊµÏÖ¸ü¸ßÖÊÁ¿¡¢¸ü¿µ½¡¡¢¸üÇå¾²¡¢¸üÂÌÉ«µÄ¿ÉÒ»Á¬Éú³¤¡£

¼ÓÈëÎÒÃÇ
È˲ÅÕþ²ß
ÕÐÏÍÄÉÊ¿
9888À­Ë¹Î¬¼Ó˹(¹É·Ý)ÓÐÏÞ¹«Ë¾-¹Ù·½ÍøÕ¾
È˲ÅÕþ²ß
°ü¹ÜÔ±¹¤»ù±¾È¨ÒæÓ븣Àû £»ÌṩרҵÊÖÒÕÅàѵ £¬Ôö½øÔ±¹¤Éú³¤ £»¿ªÕ¹¸»ºñ¶à²ÊµÄ»î¶¯ £¬Æ½ºâÔ±¹¤ÊÂÇéÓëÉúÑÄ¡£
9888À­Ë¹Î¬¼Ó˹(¹É·Ý)ÓÐÏÞ¹«Ë¾-¹Ù·½ÍøÕ¾
ÕÐÏÍÄÉÊ¿
½Ó´ý¼ÓÈë9888À­Ë¹Î¬¼Ó˹¼ì²â¸÷ÈËÍ¥ £¬ÎÒÃǽ«ÎªÄã´î½¨Ò»¸ö³ä·ÖÑéÕ¹²Å»ª £¬ÊµÏÖÖ°ÒµÀíÏëµÄÎę̀¡£
9888À­Ë¹Î¬¼Ó˹(¹É·Ý)ÓÐÏÞ¹«Ë¾-¹Ù·½ÍøÕ¾
ÐÂÎÅ×ÊѶ

°¬ÆÕ²¡ÀíØ­FGFR2bÂѰףºÒ»ÖÖÐÂÐ˵Äθ/θʳ¹ÜÍŽᲿ°©£¨G/GEJC£©±ê¼ÇÎï

Ðû²¼Ê±¼ä£º2025-08-15 ä¯ÀÀ´ÎÊý£º205

¡¡¡¡9888À­Ë¹Î¬¼Ó˹(¹É·Ý)ÓÐÏÞ¹«Ë¾-¹Ù·½ÍøÕ¾

 

ÍíÆÚθ/θʳ¹ÜÍŽᲿ°©£¨Gastric and gastroesophageal junction cancer £¬G/GEJC£©ÓÉÓÚ×ÔÉíÌØÓеÄÖØ´óÐÔºÍÒìÖÊÐÔ £¬ÏÖÔÚÒ»Ïß±ê×¼ÖÎÁÆÈÔÈ»ÊÇÈ«Éí»¯ÁÆ¡£

 

Ëæ×ÅÏà¹ØÁÙ´²Ñо¿µÄÉîÈë £¬Í¨¹ý¼ì²âHER2¡¢PDL1¡¢Claudin18.2¡¢MMRµÈÉúÎï±ê¼ÇÎïµÄÂѰױí´ï £¬»¯ÁÆÍŽá°ÐÏòÖÎÁÆÒÑÏÔÖø¸ÄÉÆ²¿·ÖÍíÆÚG/GEJC»¼ÕßµÄÔ¤ºó¡£ºÃ±È£º¹ØÓÚHER2ÑôÐÔµÄG/GEJC»¼Õß £¬ÍƼöÇúÍ×Öéµ¥¿¹+ÅÁ²©ÀûÖéµ¥¿¹¡¢ÍŽá·úÄòà×à¤+°ÂɳÀû²¬Îª»ù´¡µÄ»¯ÁƼƻ® £»¹ØÓÚHER2ÒõÐÔµÄG/GEJC»¼Õß £¬ÍƼöÔÚ»¯ÁÆ»ù´¡ÉÏ £¬ÁªÓÃÄÉÎäÀûÓȵ¥¿¹»òÅÁ²©ÀûÖéµ¥¿¹ £»¹ØÓÚ¾Ö²¿ÍíÆÚ¡¢²»¿ÉÇгý»ò×ªÒÆÐԵġ¢HER2ÒõÐÔ¡¢²¢ÇÒClaudin18.2ÑôÐÔµÄG/GEJC»¼Õß £¬ÍƼö×ôÍ×Îôµ¥¿¹Ó뻯ÁÆÁªÓá£

 

¡¡¡¡FGFR2b£¨Fibroblast growth factor receptor 2 isoform IIIb £¬FGFR2b£©ÊÇÒ»ÖÖÐÂÐ˵ÄÒ©ÎïÖÎÁưеã £¬ÔÚθ/θʳ¹ÜÍŽᲿ°©¡¢·ÇСϸ°û·Î°©¡¢ÈéÏÙ°©¡¢Âѳ²°©µÈ¶àÖÖʵÌåÁöÖоù¿É¹ý±í´ï¡£Ëæ×ÅÁÙ´²Ñо¿µÄÍÆ½ø £¬ÁÙ´²Ò½ÉúºÍ²¡ÀíÒ½Éú¶ÔFGFR2bµÄ¹Ø×¢¶ÈÓëÈÕ¾ãÔö¡£Í¨¹ýÃâÒß×黯·¨¼ì²âFGFR2bÂѰױí´ï £¬Ê¹ÍíÆÚG/GEJC»¼ÕßÓÐÍûÑ¡Ôñ±´ÂêÍ×Öéµ¥¿¹¾ÙÐÐÖÎÁÆ¡£

 

¡¡¡¡FGFR2bÔÚG/GEJCÄÚµÄÂѰױí´ï¾ßÓÐÒìÖÊÐÔ¡£ÓÐ56%µÄG/GEJCÔ­·¢ÔîÄÚFGFR2b±í´ï±£´æÒìÖÊÐÔ £¬²¢ÇÒ×ªÒÆÔîÄÚFGFR2b¹ý±í´ï±ÈÀýÏÔÖø¸ßÓÚÔ­·¢Ô75%vs 47%£©¡£Òò´Ë £¬ÎªÁ˽µµÍ¼ÙÒõÐÔÂÊ £¬ÁÙ´²Êµ¼ùÖн¨Òé¶àµã»î¼ì£¨6-8µã£©¡£

 

¡¡¡¡ÓÉÓÚºã¾Ãȱ·¦±ê×¼»¯µÄ¼ì²âÒªÁìºÍÆÀ·Ö±ê×¼ £¬FGFR2bµÄÑôÐÔÂʲ¨¶¯ºÜ´ó£¨3-38%£© £¬ÆÀ·ÖЧ¹û½â¶ÁÄÑÌâ¡£×î½ü £¬ÔÚFORTITUDE-101 3ÆÚÁÙ´²Ñо¿ÖÐ £¬FGFR2bÂѰױí´ïÅжÁÎÊÌâ»ñµÃÁËÍ»ÆÆÐÔ½â¾ö¡£¸ÃÑо¿ÍøÂçÁËÈ«Çò37¸ö¹ú¼Ò3782Àýθ°©Ñù±¾ £¬ÃâÒß×黯ȾɫЧ¹ûÏÔʾ £¬Ô¼38%θ°©±£´æFGFR2bÂѰ׹ý±í´ï£¨2+/3+Ö×Áöϸ°ûϸ°ûĤȾɫ£©¡£ÈôÊǽ«ÑôÐÔãÐÖµÉèΪ≥10% £¬Ôòθ°©ÖÐFGFR2bÑôÐÔÂÊԼΪ16%¡£²¢ÇÒ £¬FGFR2b±í´ïË®Æ½ËÆºõ²»ÊÜÄêËê¡¢ÐÔ±ð¡¢ÊÕÂÞÒªÁì¡¢ÊÕÂÞ²¿Î»¡¢Ô­·¢Ö×ÁöλÖûòµØÀíÇøÓòµÄÓ°Ïì¡£

 

¡¡¡¡ÏÂÃæÎªÎ¸°©×éÖ¯ÖÐFGFR2b±í´ïµÄ´ú±íÐÔ     £º

¡¡¡¡Í¼1 FGFR2bÒõÐÔ

¡¡¡¡     9888À­Ë¹Î¬¼Ó˹(¹É·Ý)ÓÐÏÞ¹«Ë¾-¹Ù·½ÍøÕ¾

¡¡¡¡Í¼2²¿·Öϸ°ûĤFGFR2bÈõÑôÐÔ

¡¡¡¡     9888À­Ë¹Î¬¼Ó˹(¹É·Ý)ÓÐÏÞ¹«Ë¾-¹Ù·½ÍøÕ¾

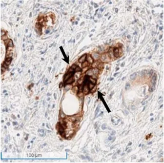
¡¡¡¡Í¼3 FGFR2b³ÊÈõÖÁÖеÈÇ¿¶ÈµÄ¡¢ÍêÕû»ò²¿·ÖĤȾɫ

¡¡¡¡     9888À­Ë¹Î¬¼Ó˹(¹É·Ý)ÓÐÏÞ¹«Ë¾-¹Ù·½ÍøÕ¾

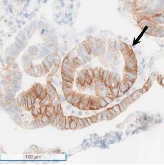
¡¡¡¡Í¼4ϸ°ûĤ³ÊFGFR2bÇ¿ÑôÐÔ±í´ï

¡¡¡¡     9888À­Ë¹Î¬¼Ó˹(¹É·Ý)ÓÐÏÞ¹«Ë¾-¹Ù·½ÍøÕ¾

 

¡¡¡¡²Î¿¼ÎÄÏ×

¡¡¡¡[1]Watson AS,Le C,Wertheimer A,et al.Precision Detection of FGFR2b Protein Expression in Solid Tumors:A Comprehensive Assessment of Staining Parameters via Automated Immunohistochemistry.Arch Pathol Lab Med.Published online May 6,2025.doi:10.5858/arpa.2024-0497-OA.

¡¡¡¡[2]Smyth EC,Kim KM,Rha SY,et al.FGFR2b protein overexpression:An emerging biomarker in gastric and gastroesophageal junction adenocarcinoma.Cancer Treat Rev.Published online May 26,2025.doi:10.1016/j.ctrv.2025.102971.

¡¡¡¡[3]Rha SY,Zhang Y,Elme A,et al.Prevalence of FGFR2b Protein Overexpression in Advanced Gastric Cancers During Prescreening for the Phase III FORTITUDE-101 Trial.JCO Precis Oncol.2025;9:e2400710.doi:10.1200/PO-24-00710.

ÍøÕ¾µØÍ¼